Diş Sağlığı Makaleleri
Gece Plağı Fiyatları 2025
May 12, 2025
Kartal Gülüş Estetiği
May 09, 2025
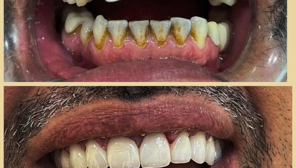
Diş Eti Çekilmesi Nasıl Tedavi Edilir
May 05, 2025
Çene Cerrahisi
May 02, 2025
20 yaş diş çekimi
Nis 21, 2025
Protetik Diş Tedavisi
Mar 24, 2025
Kartal Özel Diş Hastanesi
Mar 17, 2025
20 lik diş çekimi fiyatı
Mar 15, 2025
